上まぶたのたるみ取りについて
上まぶたというのは、毎日毎日、またたきしますから、皮膚は伸び縮みして、少しずつ引き伸ばされていきます。最初は、たるんだ瞼を、おでこの筋肉でもって一生懸命持ち上げようとして、どうにもおでこが疲れます。まつげに皮がかぶさってくると、もともとの二重のラインが隠れてしまったり、視界が狭くなってしまいます。わたしの母親などは、まぶたを切る前は、「毎朝よいしょっとまぶたを自分で持ち上げてやらないと目が開かない」とこぼしてました。
対処は単純なことで、伸びてしまった皮膚を切り取ってしまえばいいです。と、簡単に記しましたが、なかなか勇気も要るし、切る手術は腫れや内出血が付きものですから、それなりの準備というか、周囲の人たちに色々言われなくても済むようなタイミングが大切です。
よくあるのが、転職することになって日にちが取れたから、ですが、開腹手術で一週間入院することになったので、入院前日に切って欲しい、といった方も結構いらっしゃいます。二年計画三年計画で虎視眈々とチャンスを待っているひとは多いです。
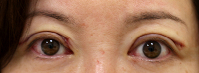
たるみの程度によっては、二重埋没法のテクニックでもって、切らずに対処できる場合もあります。伸びた上まぶたの皮膚を、今ある二重のラインよりやや上で押し込み、そこで埋没縫合する方法で、押し込んだ分皮膚が畳まれて、ちょうど少し切り取ったと同じ効果を出します。ただ、これは、たるみの程度が軽い場合の一時的な方法なので、いずれまたかぶさっては来ます。
印の位置(元々の二重のラインより少し上)で二重埋没を行うと、

一時的とはいえ、数年は切る手術を先送りに出来ます。切る手術に比べてダウンタイム(腫れや内出血)がほとんどないので、向いている方には、有用な選択肢です。
かぶさってきた皮膚を切り取る手術の経過は、腫れや内出血が少なければ下のようです。
皮膚を切り取って縫うだけなので、基本、そんなに腫れる手術ではありません。ただ、個人差があるのと、人によっては、上まぶたの脂肪のふくらみが大きく、ただ皮膚を切り取っただけでは、ボッテリ感が出てしまいそうな場合には、皮下脂肪あるいは眼窩内脂肪を切除するのですが、その場合は、腫れが強くなります。
また、腱膜性眼瞼下垂がある場合には、眼瞼挙筋まで露出して、短縮縫合(タッキング)する場合があります。その場合もやや腫れが強いです。
(脱脂する場合も、挙筋短縮する場合も、価格は両目で12万円です。とくに追加料金はかかりません。)
上の写真のかたは、実家の近所の大工さんで、開業してすぐの頃に、上まぶたの手術のモニターになってもらいました。大工の棟梁ですから、職人さんです。こちらも、一種の職人ですから、半ちくりんな仕事をして軽蔑されてはいけない、と緊張した記憶があります。
また、上の写真では、黒い糸を使って単結節縫合をしているので、塗った糸が見えますが、この数年は透明糸でロシアで覚えた連続縫合で縫っているので、糸はまず見えません。
次の症例は知人の女医さんです。どんなに拡大しても糸は見えないと思います。
3日後。やや腫れが退いて来ました。
内出血は溶けて周辺に黄色く広がって消えていきます。

腫れが強くて皮膚が硬いうちは、二重のラインが消えたり三重になったりすることがありますが、皮膚が柔らかくなるにつれて、穏やかに回復して予定した結果になっていきます。
上の女医さんの経過は標準的・平均的な感じで、実際には、もっと内出血したり腫れが強かったりする例もあります。・・ただ、そういうケースは、HPに載せにくいです。意図的に良い経過のケースだけにしているということではなくて、ご本人の了解を取り難いのです。
これが、例えば、非常に稀なアレルギーとかの合併症であれば「あなたのケースは、とても稀なことで、学会等にも報告して今後に役立てたいから御協力ください」と、私も医者の端くれとして言えるのですが、内出血や腫れといったそれほどは珍しくない合併症について、「あなたは内出血や腫れが強いので、HPへの写真掲載に御協力ください」とは、頼みにくいです。勢い、こういった美容外科のHPに使用される写真というのは、内出血や腫れの少ない例が多くなります。
腫れの強かったケースを一例だけお見せ出来ます。なぜお見せできるかというと、私自身の写真だからです。
「別に切らなくてもいいじゃないか」とおっしゃる方もいるでしょうが、私はおでこに横じわが出来やすく、定期的にボトックスを打っています。52才になります。二重のラインは保たれているものの、おでこで上まぶたを上げられないので、結構まぶたが重くて疲れていました。
こういう場合には、眉の下でたるみを切るといいです(眉下切開といいます)。
うちは、ときどき色々なお医者さんが見学にいらっしゃいます。ある日、東京から形成外科の先生が来たことがあって、昼休みに、眉下切開の話になって盛り上がって、「じゃあひとつ僕の眉下を切ってくれ」ということになって、その場で切ってもらいました。
形成外科の先生なので、黒糸で単結節縫合です。10年目で専門医も取得していらっしゃいます。左右差も無く綺麗な仕上がりです。
切開線については、私ははじめ、もう少し外側上がりを自分で引いたのですが、「眉毛は大切だから温存したほうがいいですよ」と言われて外側下がりに書き直されてしまいました。たぶん私の眉毛が薄いのを気遣ってくれたのでしょう。
もっとも、乗りでやった手術なので、クリニックの仕事は平常通リです。お客様たちはびっくりしたようですが、関心は強く、なんと、わたしのこの目を見て、同じ上まぶたのたるみ取り手術の予約をしていった方がこの日に2人いました。恐いもの、怖ろしいもの、っていうのは、実際に間近に見て確認してしまうと、逆に安心というか、不安が解消されるのかもしれません。
術前の写真と比較すると、よく見ると眉が下がって、おでこのシワというか、筋肉の緊張に伴う皮膚のよれみたいな感じが解消しています。
自覚的には、本当に切った直後から、「おでこ楽ちん♪」です。やって良かったです。
形成の先生の名誉のために強調しておきますが、腫れが強かったのは、手技や腕ではなくて、わたしのまぶたが腫れやすかったからです。腫れというのは、リンパ流の鬱滞ですから、解剖学的個人差・部位差が大きいです。予測ができません。
価格は目のきわでも眉下でも、両目で12万円です。上に記しましたが、脱脂・挙筋短縮は、たるみ取りの結果をよくするために私の判断で行うことがありますが、とくに追加料金は頂きません。
ただし、最初から眼瞼下垂の症状が強く、これは保険適応のケースだと判断される場合には、保険診療をしている形成外科の先生にご紹介することにしています。保険診療で丁寧にやってくれる先生がいるのに、わざわざ自由診療の私の手術を受ける必要はありません。
眼瞼下垂を伴わない、こういった上まぶたのたるみは「偽性眼瞼下垂」と呼ばれていて、保険適応がありません。しかし、ニーズは多いです。だから、わたしは自由診療でやっています。
時間はだいたい30分〜1時間。静脈麻酔といって、点滴で眠っている間に終わります。起きたまま目の周りを長時間手術されるのは怖いし緊張しますから、静脈麻酔は有難いですよ。ただし挙筋を調整した場合は、左右のバランスを確認するため、一度起きてからまた眠ります。


















