目袋(下まぶたのふくらみ)取りについて
目袋というのは、眼窩内脂肪という、眼球と骨の間にあってクッションのような働きをしている特殊な脂肪が、ヘルニア状に突出したものです。前方は、下まぶたの皮膚や筋肉と、繊維性の膜で仕切られています。この膜が、加齢によってたるんで、ヘルニア状に突出してきたものを、目袋と言っています。

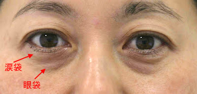
一方、涙袋というものもあります。涙袋というのは、目袋の上方、下まぶたの縁の直下にあるふくらみです。加齢による変化ではなく、眼輪筋によるふくらみです。目袋は加齢を感じさせますが、涙袋は色っぽさを演出してくれます。

上は、うちのスタッフの一人ですが、涙袋と目袋、両方があります。涙袋は美容的に嬉しいのですが、目袋は邪魔です。
対処としては、目袋の原因となっている眼窩内脂肪を、結膜側(アッカンベーをしたときの赤目の部分)からの切開によって、取り出してやります(上の解剖のイラストの赤矢印の経路です)。
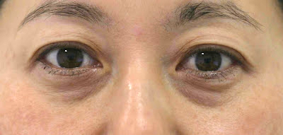
術前(上と同じ写真)。

紫色のペンで取る脂肪に印を打ったところ(デザイン)。

(注)上まぶたのたるみに、二重埋没法も同時に行いました(現在の二重のラインより少し上にラインを取り直すことで、かぶさってきた二重の幅を広くしてやる手術です)。
直後。

目袋の脂肪は、下眼瞼結膜を切開してアプローチして取り出すので、表には傷はまったく見えません。(青いのは、内出血ではなく、ペンのあとです)。
対処としては、目袋の原因となっている眼窩内脂肪を、結膜側(アッカンベーをしたときの赤目の部分)からの切開によって、取り出してやります(上の解剖のイラストの赤矢印の経路です)。
内出血に関して補足です。脂肪を取り出して切除するときに、小さな血管を電気凝固して止血するのですが、手術を終えた直後には何ともなくても、家に帰ったあとで、焼いて止めたはずの血管から出血して青く腫れてしまうことが、稀にですがありました。ちょうどボクサーが殴られて眼を腫らしたときのような感じです。予防のため、当日の夜は、お酒は控えて、お風呂も長風呂は避けてください。温まって血管が広がると出血しやすいと思われます。
もし腫れてしまった場合には、ご連絡のうえ、お越しください。血種を取り除いて止血し直します。もっとも、どうしても来られないという場合は、時間はかかりますが、自然に退くのを待っても可です。殴られて眼を腫らしたボクサーが、しばらくすると腫れが退いているようなものです。
2日後(2週間後ではありませんよ)。

このスタッフは、内出血もなく、腫れも1日で退きました。うまくいくとこんなものですが、腫れやすい方や、内出血が生じてしまうと、2〜3週間のダウンタイムを要します。もっとも、表面上は切ったり縫ったりしたあとは見えませんので、他人にはわかりにくい手術ではあります。
斜めから見たところ。術前。

2日後。

上下に並べてみました。上が術前、下が2日後。

取れた脂肪はこんな感じです。

ときどき、ネットなどで予習していらっしゃるのか、「目袋の脂肪は3つのパーツに分かれているそうですね」と質問されることがあります。たしかにそうなんですが、だからといって、3つ取らないといけないというものではないです。
結膜側を切開して、膨らんでいる目袋の辺りに達すると、自然に脂肪が飛び出てきます。この飛び出た部分・量の脂肪を、血管を丁寧に焼いて血止めしながら、切除するだけの話で、結果的に取り出すべき脂肪塊の数は、1個だったり2個だったり3個だったりします。人によって違います。
そういう意味(余剰脂肪が自然に飛び出てくるのでそれを切除するだけという意味)では、結膜側からの目袋取りというのは、そんなに難しい手術ではありません。
ただし、慣れてない先生が、眼窩内脂肪と見誤って、下まぶたの皮下脂肪塊を切除してしまうと、不自然な凹みになったりすることもあるようです。眼窩内脂肪と皮下脂肪とは、脂肪の性状(見た目や軟らかさ)が違うので、慣れた先生であれば間違うことはありません。
余談になりますが、「難しい手術」というのは、いろいろありますが、
- 安定した結果が出ない(術者のデザイン力などが関係する)。
- 重大な合併症のリスクが高い。
といったものだと、私は考えます。眼袋取りの手術は、誰がやっても、だいたい似たような結果が出ますし、重大な合併症の報告も無いです。
しかし、大学の形成外科や皮膚科の医局などでは、こういう手軽な美容手術は行っていないので、誰も教えてくれません。ですから、目袋取りの手術と言うのは、「そんなに難しい手術ではないのだが、習得しにくい手術」と言っていいと思います。わたしの場合は、開業前に、ロサンゼルスの美容外科の先生のところに見学に行ったときに覚えました。
それで、たまに、知り合いの形成外科の先生から、近々開業するのだが、美容外科の手術も出来るようにしておきたい、ついては、目袋取りの手術を見学させてもらえないだろうか?という問い合わせがあったりします。下に紹介する動画は、うちのクリニックの別のスタッフの目袋取りの動画で、私が説明している相手は、形成外科の先生です。

(画像または→こちらをクリック)
こう書いていると、まるで、自分は、形成外科の先生に指導できるくらい上手なんだぞ、みたいな自慢に聞こえるかもしれませんが、そうではなくて、目袋取りのような手術は、形成外科とか皮膚科とかとは、まったく違う次元に存在するものなんだよ、っていうことを強調したい趣旨です。
例えば、切る眼瞼下垂手術なんかは、形成外科の先生であれば、勤務医時代から圧倒的な数をこなしているはずだから、私のように勤務医時代を皮膚科医として過ごしてきた医者が、形成外科出身の先生をさておいて、それも自由診療価格でやろう、なんて、おこがましくて夢にも思いませんが、こういった目袋取りの手術なんかは、出身科の如何は関係ないんだよ、ということを、形成外科の先生が私のところに見学にいらっしゃるという事実を介して、お伝えしたいということです。
目袋取りの手術で、内出血のほかに、もうひとつ留意すべきことは、術後の小じわの問題です。
上のスタッフの術後の写真をよく見ると、

目袋のあったあたりに小じわが一本出てきています。
膨らんでいた脂肪が抜けた分、皮膚が縮みます。その結果小じわが気になる場合があります。
これは、
- 若い人
- 涙袋のある人
ほど目立ちません。また、術後1〜2ヶ月気になっていても、だんだん気にならなくなっていきます。ちょうど、お産のあとのお腹のようなもので、ふくらみが抜けたあと、一過性にしぼみはしても、数ヶ月経つと、元の張りを取り戻すのと同じです。
上のスタッフの場合は2.の「涙袋のある人」であったため、小じわが1〜2本出ても、直後からすっきりした感じに仕上がったということです。涙袋があると、起伏のためにカモフラージュされやすいということですね。
目袋の無いあるいは薄い方では、取る脂肪の量をやや控えめにするなどして調節します。
しかし、どうしても、小じわが心配だ、あるいは、目袋取りをしたあと、小じわが苦になるようになってしまった、という場合には、「下まぶたのたるみ取り」手術(→こちら)をすると良いです。
下に示す写真は、比較的若い方で、まずは結膜からの目袋取りだけでもよかったとも思いますが、ご本人の希望で最初から「下まぶたのたるみ取り」手術を行った方です。

左上から、術前、デザイン、手術直後。
右上から、翌日、一週間後(抜糸)、1ヶ月後。
(画像をクリックすると拡大します)
「下まぶたのたるみ取り」手術の値段は、目袋取りと同じく両目で18万円です。
ただし、最初の目袋取りのカウンセリングの際に、「あなたは目袋取りだけで大丈夫だと思いますよ」とわたしが見立てたけれども、目袋取りの術後に小じわが気になってしまって「下まぶたのたるみ取り」手術を受けたい、という方については、半年以内であれば、無料で追加手術します。
また、術後の小じわを気にするあまり、控えめに取りすぎて、目袋が残っている、という場合には、1カ月以内であれば、これまた無料で再手術(追加切除)します。
元々の価格が安いのに、話がうますぎはしないか?と警戒されてしまったら困るのですが・・大丈夫です。それでもちゃんと儲けは出てますから(^^;。
大きな欲が無いだけです。愛人居ないし、ゴルフやらないし、車も乗らないもので。
・・いったい、お前の人生、何が楽しいんだ?って問い詰められそうですが、こうやって、毎日、お客様の相手して、自分の能力・身の丈にあった施術してるだけで、もうほんとに十分なんですよ。だから「年中無休」でも、全然苦にならないんだろうな(^^;。
昔、「病気」を治すお医者さんやってた頃は、患者も苦しかっただろうけど、診てるこちらも辛かったし悲しかったです。それを思うと、今の仕事って、健康な人がより幸せを感じるためのお手伝いなんで、ほんとに施術してる私自身が癒されます。ありがたいことです。

